Una isla indonesia queda envuelta en cenizas tras la erupción del volcán Semeru, que dejó decenas de víctimas
La erupción del volcán Semeru, ubicado en el sureste de la isla indonesia de Java, ya le costó la...
Read MorePosted by Latino News TN | Dic 5, 2021 | Mundo |
La erupción del volcán Semeru, ubicado en el sureste de la isla indonesia de Java, ya le costó la...
Read MorePosted by Latino News TN | Dic 4, 2021 | Mundo |
Previamente, fuentes locales informaron sobre una explosión en la ciudad. La defensa aérea de Irán...
Read MorePosted by Latino News TN | Dic 4, 2021 | Mundo, Uncategorized |
Las autoridades a cargo informaron que no hubo daños y que se investiga el origen del...
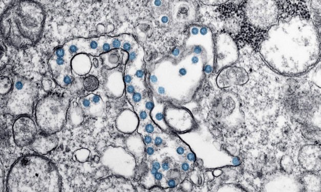
Read MorePosted by Latino News TN | Dic 3, 2021 | México |
López-Gatell informa que se trata de una persona de 51 años proveniente de Sudáfrica. El...
Read MorePosted by Latino News TN | Dic 3, 2021 | Primera Plana |
No obstante, la entidad pidió a los fabricantes de vacunas que comiencen a ajustar los fármacos...
Read More
Comentarios recientes